Physical Address
304 North Cardinal St.
Dorchester Center, MA 02124
Physical Address
304 North Cardinal St.
Dorchester Center, MA 02124

Have you ever wondered if the health of your teeth could affect the rest of your body? Most people think toothaches are just a mouth problem. Think again! This article is full of surprising facts about how poor oral health, gum disease, and tooth infections can mess with your kidneys. You’ll find out how bacteria from your teeth can travel far, making you sicker than you ever imagined. Plus, I’ll share easy things you can do right away to protect both your smile and your kidneys. So let’s dive in. You won’t want to skip this—your health is at stake!
Let’s get straight to the point: Yes, bad teeth can affect your kidneys. I know that sounds crazy, but lots of science backs it up.
When your mouth gets in bad shape—let’s say you have cavities, gum problems, or tooth infections—it becomes a place for bad germs. These aren’t just regular germs. Some, like Porphyromonas gingivalis and Treponema denticola, can travel from your mouth into your blood. Once they get in, they don’t just hang around. They move through your body and can make all sorts of other problems, especially in organs like your kidneys.
Not brushing your teeth once won’t make your kidneys stop working. But if you keep ignoring your teeth, those germs and never-ending swelling slowly mess with your health. The risk is real—people with bad dental care are up to 2-3 times more likely to have kidney problems. That’s something to remember the next time you think about skipping brushing!
Your kidneys do a lot more than most people think. They act like your body’s “filters.” Every day, they clean up waste and extra water from your blood. They balance salt, help control blood pressure, and even help your bones.
But kidneys are sensitive. Things like bad stuff in your body, lots of swelling, or germs can slow them down or even make them stop working. Chronic Kidney Disease (CKD) starts quietly, and you might not notice anything wrong for a long time. By the time you find out, your kidneys may already have a lot of damage. That’s why keeping your kidneys safe is really important.
Think of your kidneys like the oil filter in a car. If you leave dirt in, the engine will break down. Bad teeth let “dirt”—numbers of germs and swelling—into your blood. Before long, your kidneys are working super hard just to keep up.
Most people are surprised by this “mouth and body” link. It’s called the oral-systemic link. If your gums are sore or infected, they become like open doors for germs to leave your mouth, get into your blood, and cause trouble elsewhere.
Doctors now agree that continuous swelling—the kind you sometimes don’t feel or see—can hurt your kidneys. Here’s what happens:
It’s not just about germs, either. Swelling from your mouth makes things like diabetes and high blood pressure—two of the worst things for kidney health—even harder to handle. It’s like fighting three battles at the same time.
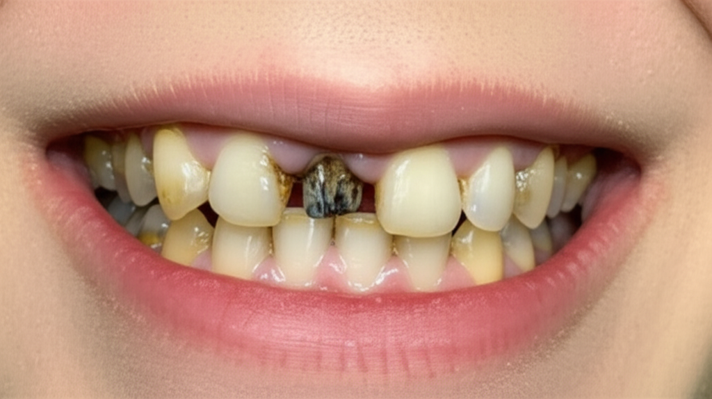
Gum disease mainly comes in two kinds: gingivitis (the easy kind, where gums are red and puffy) and periodontitis (the tough kind, where gums pull back, teeth get loose, and infection goes deep).
Here’s why this matters—People with Chronic Kidney Disease (CKD) are up to 3 times more likely to have periodontitis. If you’re on dialysis, it goes up to 90%!
Gum disease doesn’t usually hurt, at least at first. But under the surface, your gums get small open spots. These let germs leave your mouth and get right into your blood. Not only can that mess up your kidneys faster, it also causes swelling all over your body and sometimes even heart problems.
Some of the main germs that cause gum problems are Porphyromonas gingivalis, Treponema denticola, and Tannerella forsythia. These germs don’t stay in your gums—they can cause swelling everywhere.
Picture this: You have a tooth abscess—a pocket of pus next to your tooth. Germs are everywhere. Each time you chew or brush your teeth, some germs get into tiny cuts in your gums and jump into your blood. This is called bacteremia.
Usually, your body’s defenses get rid of these germs. But if you’re already sick or if there are lots of germs, some can get away and travel through your blood to places like your kidneys.
The bad news? If you already have weak kidneys (maybe from diabetes or high blood pressure), this rush of germs makes your kidneys work extra hard. They swell, get inflamed, and can get weaker over time.
Sometimes, things get serious really quick. There are real stories (like a man on dialysis who felt worse until his tooth abscess was taken care of) where fixing a mouth problem helped with kidney symptoms.
It might surprise you, but sometimes your mouth gives clues about your kidneys. Here’s what to look for:
If you see a few of these at once, don’t ignore it. It might be time to check both your teeth and your kidneys.
Some people really need to watch their teeth because their kidneys could be an easy target:
Even if you think your teeth and kidneys are perfect, slow build-up of mouth germs and swelling can cause damage when you may not notice. Prevention really is the smartest move.
If you take care of your mouth, it helps your kidneys too. Here’s what dentists, kidney doctors, and patients do:
Doing these things every day helps a ton—even missing flossing can cause big problems over time!
For more information on custom dental appliances that help keep your teeth in top condition, check out the [removable denture lab] for options that suit every smile.
Ever wonder if it’s worth fighting gum disease hard? Yes! Here’s why:
When dentists treat gum disease—by cleaning, scaling, or deep cleaning—people with kidney problems see clear benefits. For example:
There’s a story of a person with stage 3 kidney disease and bad gum problems. After getting his mouth cleaned up, his swelling numbers dropped, and his urine tests improved. His kidneys stopped getting worse and stayed the same instead.
Of course, it’s not a magic fix. But clean teeth and catching gum problems early can help your kidneys—sometimes more than you think.
Choosing tough dental materials helps too. I suggest checking out services from a [zirconia lab] for strong, germ-resistant crowns and bridges that help keep your gums healthy.
Q: Can brushing and flossing alone protect my kidneys?
A: It helps a lot! But if you have diabetes, CKD, or high blood pressure, you’ll need checkups, eat healthy, and maybe extra dental care too.
Q: What dental care should dialysis patients focus on?
A: These patients need cleanings more often, and their dentist should know about their kidney treatment. Some treatments might need extra safety steps.
Q: What mouth germs bother kidneys the most?
A: Germs like Porphyromonas gingivalis, Tannerella forsythia, and Streptococcus types are the main ones.
Q: Do I need to talk to my dentist AND my kidney doctor?
A: Always! When your dental and medical teams work together, it helps the most.
Q: Can fixing my teeth really help my kidneys?
A: For lots of people, yes! Studies show better dental care makes kidney health better, mostly by cutting down swelling.
Want even more tips? Our [digital dental lab] partners offer great information on how new dental technology can help fight both gum and kidney issues.
Stick this list on your fridge:
If you want to keep your mouth and whole body healthy, [china dental lab] offers more resources to stop these problems before they start.
> Article reviewed by Dr. Joe Dental, Board Certified Periodontist
Take a step today—grab your toothbrush, call your dentist, and protect those kidneys. It’s one habit you’ll never regret.